
Dr. Calum’s Journey
Dr. Calum is a highly experienced and distinguished British dentist with over a decade of expertise in both NHS and private practice settings across Edinburgh, Glasgow, and Dubai. His extensive career has equipped him with a wealth of knowledge and skills, ensuring that his patients receive the highest standard of dental care.
Graduating with honors from the University of Glasgow in 2012, Dr. Calum’s commitment to excellence was evident early on. In 2014, he achieved Membership of the Faculty of Dental Surgery of the Royal College of Physicians and Surgeons of Glasgow (MFDS RCPSG). He further advanced his qualifications by completing a Diploma in Restorative Dentistry from the Faculty of General Dental Practice (FGDP) at the Royal College of Surgeons of England. His Master’s degree in Restorative Dentistry from Plymouth University further enhanced his expertise in this area.
In recognition of his outstanding contributions to the field, Dr. Calum was awarded a Fellowship from the Royal College of Surgeons, London (FFDS RCS) in 2021. This prestigious accolade underscores his dedication to advancing the practice of dentistry.
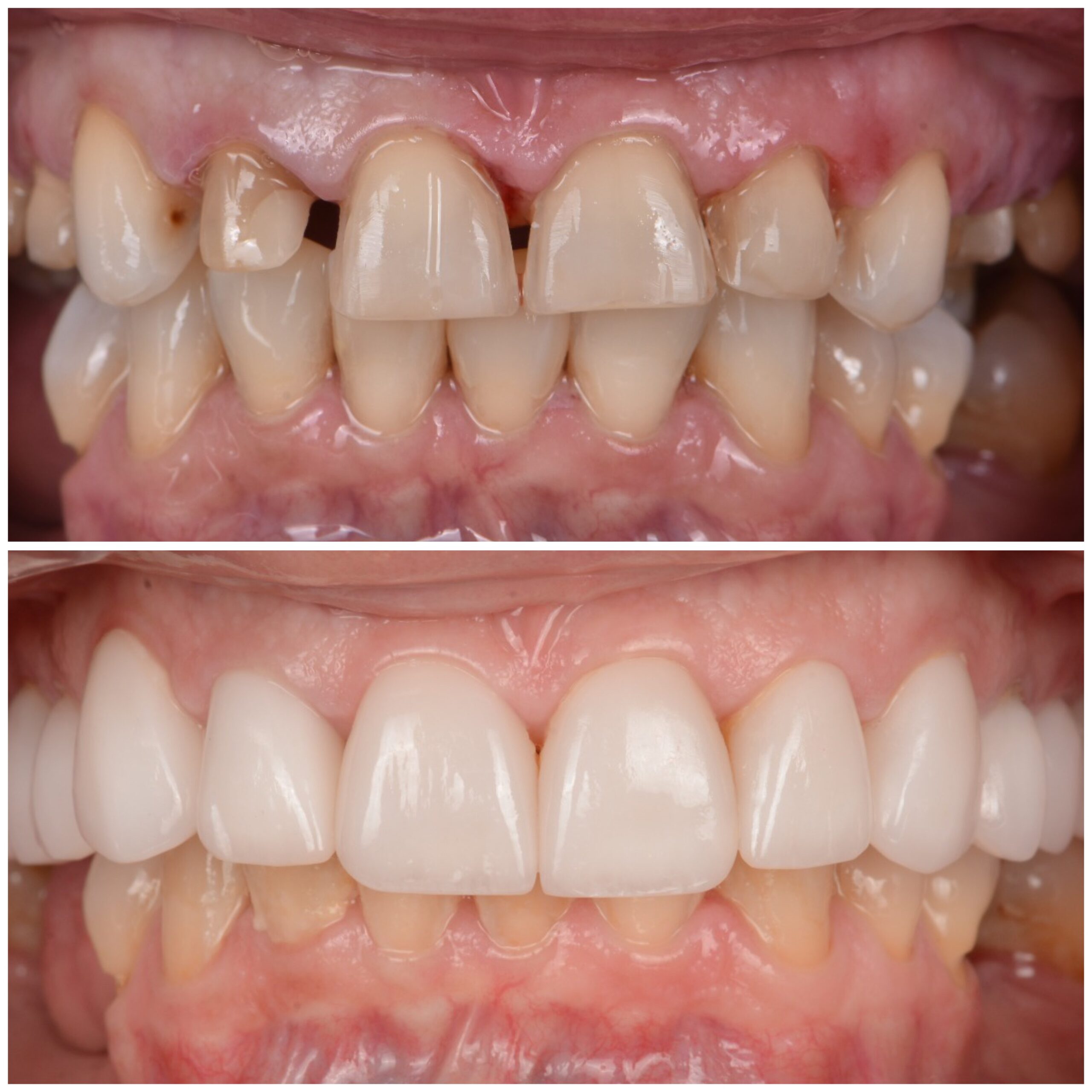
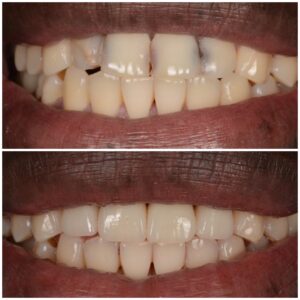
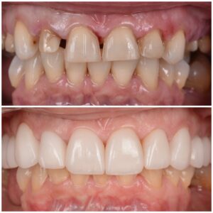
Dr. Calum’s practice encompasses all aspects of general dentistry, with a particular focus on cosmetic and restorative procedures. He is highly skilled in CAD/CAM crown and bridge work, digital smile design, smile makeovers, composite bonding, and occlusion, as well as minimally invasive dentistry, ensuring a comprehensive approach to patient care.
In addition to his clinical work, Dr. Calum enjoys teaching, and prior to is to Dubai, spent five years mentoring and training newly qualified dentists in the UK, providing invaluable guidance and support. His role as a mentor reflects his commitment to advancing the profession and sharing his knowledge with the next generation of dental practitioners.
Dedicated to Dental Mastery
Explore heartfelt client testimonials reflecting their smiles and satisfaction.
Dental Services
“I specialise in natural smile make-overs and I strongly believe in improving your smile with preserving as much tooth tissue as possible.”
- Minimal no prep veneers
- Restoring Implant prosthesis
- Onlay
- Crowns
- Bridges
- Direct restorations
- Porcelain veneers
- Composite bonding
- Post and core build ups
- Dental extractions
Smile Transformations
Contact us:
appointments@drcalum.com
+971-565236061
